Medical Imaging

Medical Imaging

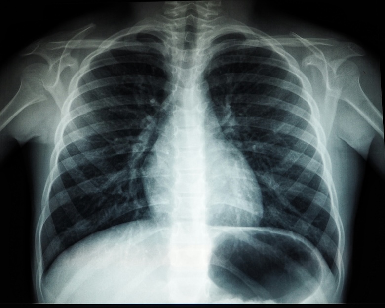
Medical imaging refers to the method and procedure of generating visual depictions of the body’s interior for clinical examination, medical intervention, and the visual portrayal of organ or tissue functionality. This technique is utilized to expose internal structures, diagnose and treat illnesses, and create a reference database of standard anatomy and physiology to detect anomalies. X-rays, CT (computed tomography) scans, ultrasounds, MRI (magnetic resonance imaging), and nuclear medicine imaging are typical examples of medical imaging techniques. Medical imaging has evolved into a crucial instrument for diagnosing various health conditions such as trauma, cancer, cardiovascular diseases, and neurological disorders. It forms an essential component of biological imaging encompassing diverse technologies like X-ray, CT scan, MRI scan, PET scan, and ultrasound. Highly skilled technicians ranging from oncologists to internists employ medical imaging; it is a fundamental aspect of contemporary healthcare science.

Applications of Artificial Intelligence in Medical Imaging

The integration of artificial intelligence (AI) into medical imaging presents a multitude of potential benefits, including enhanced diagnostic precision, optimized workflows, and improved patient prognosis. The following are some notable uses of AI in the field of radiology:

Detection of Cardiovascular Irregularities: AI applications have the capability to evaluate heart structures for assessing cardiovascular disease risk and automating the identification of irregularities in imaging tests.

Assistance in Diagnosing Neurological Disorders: AI can aid in diagnosing progressive neurological diseases such as ALS by scrutinizing medical images and offering insights for early detection.

Highlighting Thoracic Complications and Conditions: AI-driven algorithms can expedite the detection of conditions like pneumonia and pneumothorax, facilitating prompt treatment decisions.

Identification of Brain Tumors: Through image analysis, AI can assist in pinpointing brain tumors, thereby enhancing diagnostic precision and treatment planning.

Recognition of Breast Cancer: By improving mammography examinations, AI tools can contribute to the early detection of breast cancer and decrease misdiagnosis rates.

Detection of Musculoskeletal Injuries: By examining medical images, AI can help detect bone fractures and other musculoskeletal problems, providing additional assistance to healthcare professionals.

Provision of Second Opinion Support: Acting as a ‘second reader,’ AI provides radiologists with an additional perspective on intricate cases, boosting diagnostic assurance.

These examples illustrate how AI is transforming medical imaging by augmenting efficiency, accuracy, and patient care. Despite challenges such as data collection and infrastructure constraints, the prospective advantages offered by integrating AI into radiology are substantial.